Домашнє відбілювання зубів

Що таке домашнє відбілювання зубів і коли воно актуальне
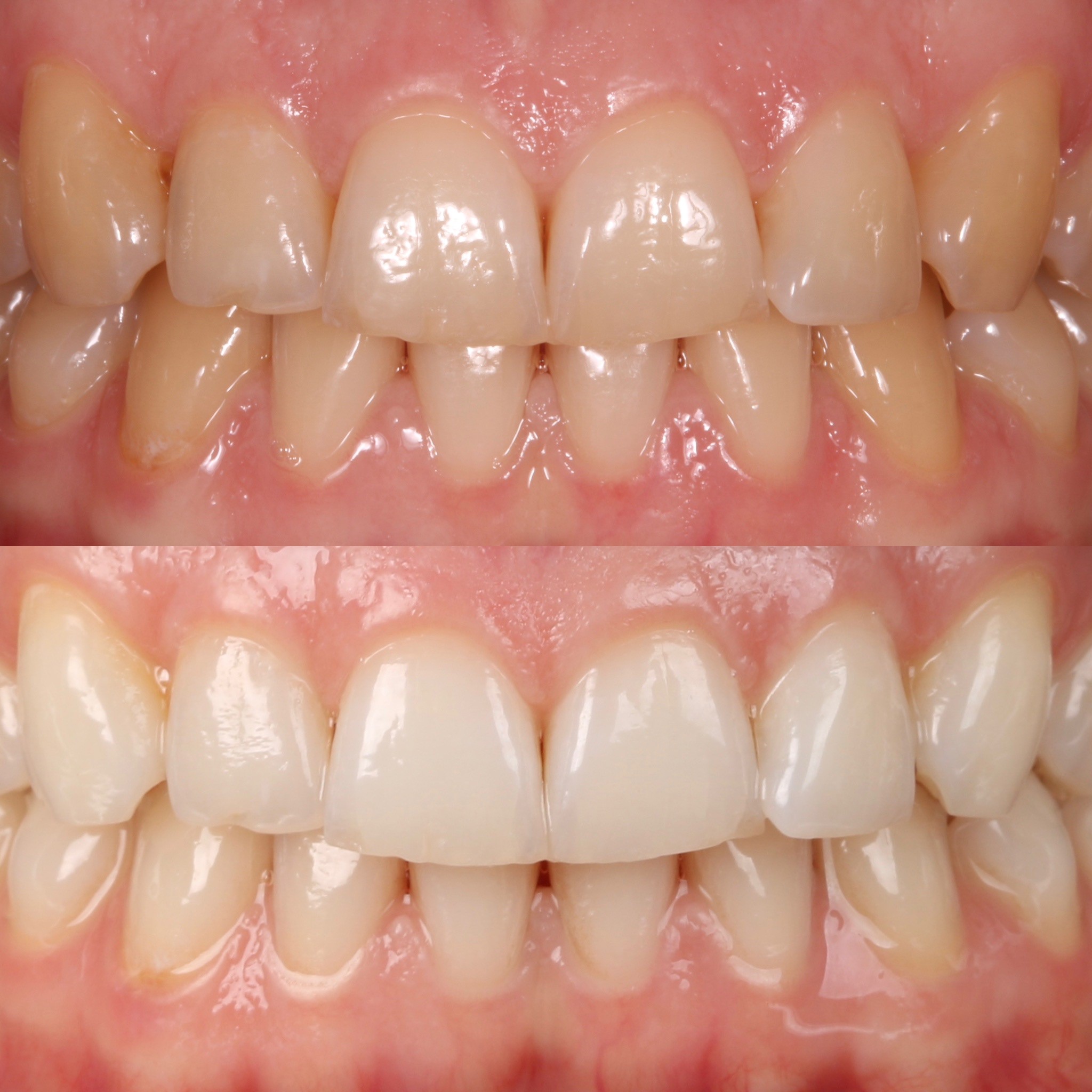
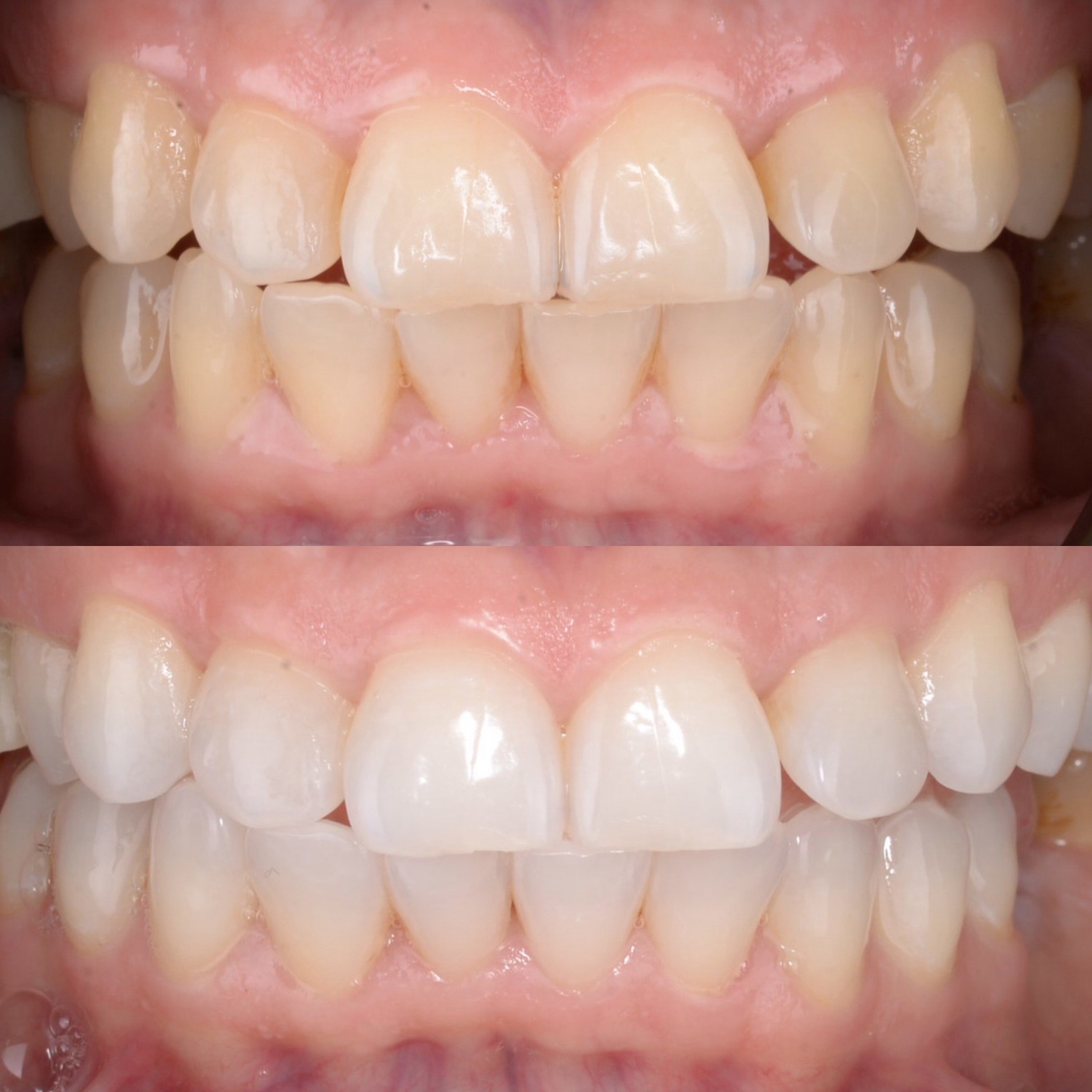
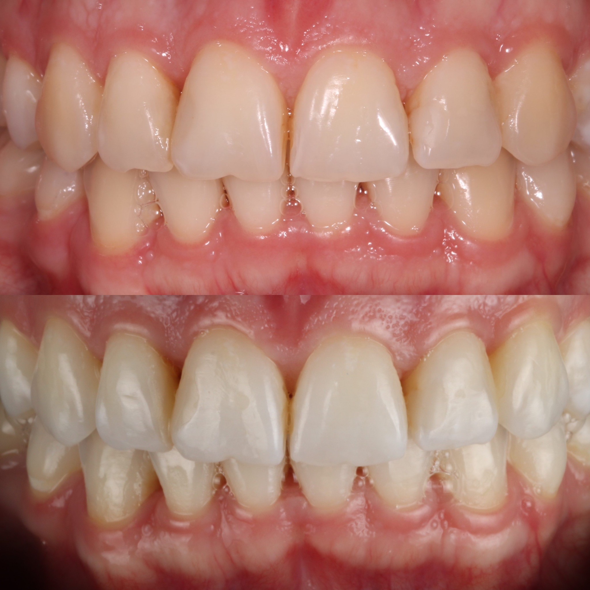
Домашнє відбілювання — це сучасна альтернатива клінічним процедурам, яка дає змогу досягти помітного освітлення емалі в комфортних умовах. Такий метод обирають пацієнти, які прагнуть мати білосніжну усмішку, але не готові до встановлення керамічних вінірів. Процедура проводиться за індивідуальною схемою, розробленою лікарем після обстеження. В основі методу — використання спеціальних кап і гелів, які пацієнт застосовує самостійно вдома. Гель з активним киснем глибоко проникає в емаль та м'яко очищує навіть стійки пігменти без нанесення шкоди структурі зубів.
У клініці EVOLUTION домашнє відбілювання зубів є частиною комплексного підходу до естетичної стоматології. Спеціалісти ретельно підбирають засоби відповідно до стану емалі, її чутливості й бажаного результату. Процедура абсолютно безпечна, якщо дотримуватися всіх рекомендацій лікаря. У деяких випадках саме така система виявляється найкращим рішенням для пацієнтів з високою чутливістю зубної емалі або протипоказаннями до кабінетного відбілювання.
Переваги відбілювання зубів в домашніх умовах
Відбілювання зубів в домашніх умовах має багато переваг, які роблять цей метод дуже популярним серед пацієнтів:
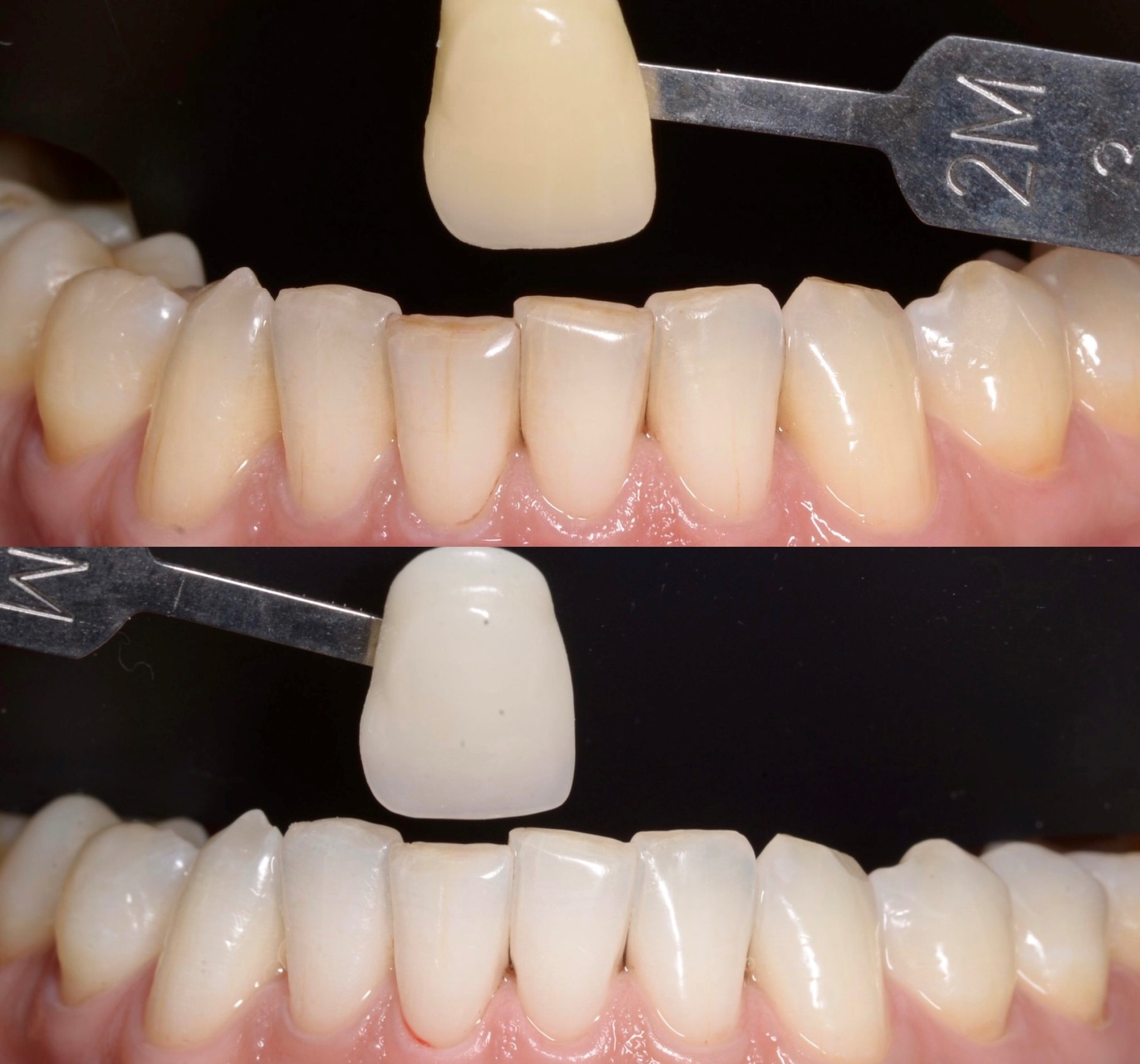
- головна перевага - висока ефективність зі стійким ефектом, при дотриманні схеми застосування можливе освітлення до 6-8 відтінків;
- це зручно, адже процедура не вимагає постійного перебування у стоматологічному кабінеті, її можна проводити у будь-який зручний час;
- цей метод менш агресивний до емалі, оскільки концентрація відбілювальних агентів у гелях не надто висока, а тому вони діють м’яко, відтак знижується ризик виникнення підвищеної чутливості;
Лікарі нашої клініки EVOLUTION завжди детально консультують пацієнтів, навчаючи правильного застосування системи, щоб забезпечити максимальний ефект та безпеку. Крім того, ця методика зазвичай є досить доступною за вартістю, що робить її привабливою для широкого кола пацієнтів.
Домашнє відбілювання зубів від стоматології EVOLUTION: особливості системи
Щоб відбілити зуби в домашніх умовах ефективно і безпечно, необхідно дотримуватись кількох важливих кроків. Спочатку обов’язково потрібно звернутися до стоматолога для огляду та професійної оцінки стану зубної емалі. Лікар виключить наявність карієсу, захворювань ясен або інших протипоказань до процедури. Після цього він підбере індивідуальний відбілювальний набір і пояснить правила його використання.
Перший етап - це сканування зубів пацієнта та виготовлення спеціальних прозорих індивідуальних кап. Далі пацієнт повинен наносити спеціальний гель всередину кап та носити їх протягом визначеного лікарем часу — від кількох годин до всієї ночі. Тривалість курсу визначається лікарем-стоматологом і залежить від індивідуальних особливостей емалі та бажаного результату.
Поради та рекомендації після відбілювання зубів в домашніх умовах
Після того, як завершено домашнє відбілювання зубів, важливо дотримуватися кількох простих правил для збереження отриманого ефекту. Перш за все рекомендується уникати продуктів та напоїв, що можуть фарбувати емаль, — кави, червоного вина, чорного чаю, а також тютюну. Також варто дотримуватися правильної гігієни порожнини рота, використовуючи м’яку зубну щітку і неагресивні пасти.
Щоб підтримувати білизну та здоров'я усмішки якомога довше, стоматологи EVOLUTION радять відвідувати клініку раз на шість місяців для проходження професійної гігієни та профілактичних оглядів ротової порожнини.
- Стара ціна (в тч сканування та виготовлення індивідуальних кап) 20 200 грн
- Нова ціна (в тч сканування та виготовлення індивідуальних кап) 14 900 грн
Домашнє відбілювання зубів від стоматології EVOLUTION: особливості системи
У клініці EVOLUTION відбілити зуби в домашніх умовах можна з використанням високоякісних матеріалів від провідних світових виробників. Це гарантує безпеку та тривалість ефекту, а також мінімальний ризик побічних реакцій. Наша команда стоматологів розробляє персоналізовані плани відбілювальних процедур, враховуючи чутливість емалі та стан ротової порожнини кожного пацієнта.
Перед початком курсу бажано провести професійну гігієнічну чистку, щоб видалити наліт і зубний камінь — це допоможе забезпечити максимально рівномірний результат. Лікарі EVOLUTION ретельно інструктують, як правильно користуватися капами й дотримуватися гігієни під час курсу. Крім того, у разі виникнення дискомфорту або підвищеної чутливості, пацієнти завжди можуть звернутися за консультацією.
Домашнє відбілювання зубів у EVOLUTION: переваги вибору нашої клініки
Одна з ключових переваг нашої системи — це доступна ціна на відбілювання зубної емалі вдома, яка поєднує якість і ефективність. Ми розуміємо, що кожен пацієнт шукає найкраще співвідношення вартості та результату, тому в EVOLUTION пропонуємо оптимальні умови для всіх. Крім того, процедура проводиться у зручний для вас час без необхідності часто відвідувати клініку.
Для запису на консультацію або отримання детальної інформації про відбілювання зубів в домашніх умовах достатньо звернутися до нашої дружньої команди. Ми допоможемо підібрати індивідуальне рішення і підтримуватимемо вас на кожному етапі лікування. EVOLUTION — це ваш надійний партнер у світі здорової та сяйливої усмішки.
Перед тим, як відбілити емаль самостійно, важливо проконсультуватися зі стоматологом, особливо якщо у вас є проблеми з емаллю чи підвищена чутливість. У EVOLUTION ми проводимо повний огляд ротової порожнини й підбираємо методику, яка максимально підходить саме вам. Крім того, якщо ви хочете комплексно покращити стан емалі, наші фахівці запропонують додаткові варіанти лікування.
Звертайтеся до EVOLUTION, якщо вас турбує потемніння зубів після куріння, вживання кави або з інших причин. Наше домашнє відбілювання зубів — це безпечний і ефективний шлях повернути природну білосніжність і сяйво усмішки. Запишіться на консультацію вже сьогодні й зробіть перший крок на шляху до досконалого відтінку зубної емалі.
- АДРЕСА: м.Київ, вул. Освіти 14
- ТЕЛЕФОН: +38 (050) 296-45-66
-
ГРАФІК РОБОТИ:
Пн-Пт 09:00 - 19:00
Сб 10:00 - 18:00
Нд вихідний







